MEDizzy
MEDizzy
RM
Rutendo Mamboalmost 6 years ago
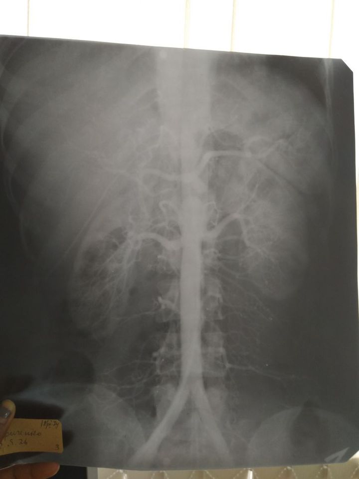
Please diagnose

Please diagnose

26
Top rated comment
almost 6 years ago

AAA

Other commentsSign in to post comments. You don't have an account? Sign up now!
almost 6 years ago

Double kedney

almost 6 years ago

Where the double kidney It is under the diaphragm and I think there also kidney closed to empric ??!

almost 6 years ago

Abdominal aortic aneurysm

almost 6 years ago

WithC.M??!!?

Recent MCQs















Show more MCQs

Recent flashcard sets















Show more flashcards