
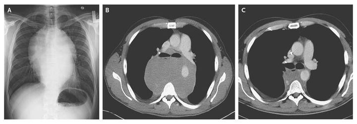
A 30-year-old man presented with chest pressure, shortness of breath, severe dyspnea on exertion, dysphagia, odynophagia, and a weight loss of 30 lb (14 kg) over a 2-month period. He had undergone orchiectomy 3 years earlier for stage 1 testicular seminoma but had been lost to follow-up. Cardiac examination revealed normal sinus rhythm without murmurs or gallops, and the lungs were clear on auscultation. Radiography (Panel A) and computed tomography (CT) (Panel B) of the chest revealed a large, posterior mediastinal mass. On CT, the mass measured 19 cm by 15 cm by 8 cm, displaced adjacent structures, and circumscribed the descending thoracic aorta. A CT scan of the abdomen was unremarkable. Laboratory evaluation revealed a human chorionic gonadotropin level of 4 mIU per milliliter (normal value, <3), a lactate dehydrogenase level of 1400 U per liter (normal range, 140 to 270), and a normal alpha-fetoprotein level. Findings on biopsy were consistent with seminoma. The patient received three cycles of chemotherapy with bleomycin, etoposide, and cisplatin, with substantial improvement in his symptoms. A follow-up CT scan 3 months later (Panel C) revealed a marked decrease in the size of the mass. After 10 months of follow-up, the patient is asymptomatic and is doing well, with continued follow-up every 4 months.