
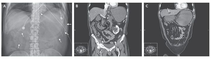
A 71-year-old man with advanced pancreatic carcinoma who was receiving neoadjuvant chemoradiation therapy presented with a 12-hour history of diffuse abdominal pain and vomiting with associated abdominal tenderness and rigidity. A plain abdominal film (Panel A) and computed tomographic scans (Panels B and C) revealed intestinal pneumatosis along the contour of the stomach and duodenum (Panel A, pylorus and duodenum, two arrows at lower left; lesser curvature of stomach, single arrow at top; greater curvature of stomach, three arrows at lower right), portal venous gas (Panel C, arrow), and adjacent bowel thickening. His poor oncologic prognosis, the extent of the bowel pneumatosis, and overall frailness led the patient to decline further intervention. He was transitioned to comfort care and died 48 hours after presentation. Intestinal pneumatosis may represent a finding incidental to life-threatening illness, as seen in this patient.