
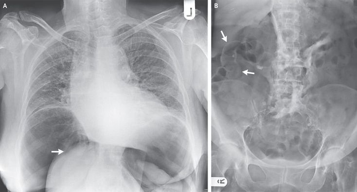
A previously well 76-year-old woman underwent elective colonoscopy for the investigation of persistent rectal bleeding and abdominal pain. The procedure was prolonged owing to the presence of a redundant sigmoid colon, and considerable manipulation was required in order to advance to the cecum. After the procedure, sudden abdominal distention developed, with signs of peritoneal irritation. A chest radiograph obtained while the patient was in the upright position showed a tension pneumoperitoneum with medial displacement of the liver (Panel A, arrow), raising concern about torsion of vessels in the porta hepatis. A radiograph of the abdomen showed Rigler's sign — air on both sides of the bowel, indicative of intraperitoneal gas (Panel B, arrows). The patient underwent urgent laparotomy, with Hartmann's resection for a large tear in the sigmoid colon. The patient was well at the follow-up visit 2 months after surgery, with a planned reversal of Hartmann's procedure.