MEDizzy
MEDizzy
NJ010006/16
NJ010006/16almost 6 years ago
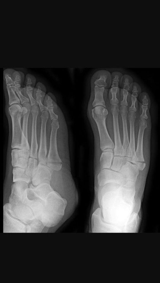
Diagnosis?

Diagnosis?

14
Top rated comment
almost 6 years ago

Bennetts fracture?

almost 6 years ago

Bennet's fracture is fracture of first metacarpal bone. I dont see metacarpal bone here :D

Other commentsSign in to post comments. You don't have an account? Sign up now!
almost 6 years ago

Fifth digit has 2 phalanges

almost 6 years ago

Jones fracture?

almost 6 years ago

It is correct

almost 6 years ago

Jones fracture?

almost 6 years ago

🤘

almost 6 years ago

Is that an older fracture on the fifth metatarsal?

almost 6 years ago

Fifth metatarsal fracture

almost 6 years ago

Can I ask where are you from?

Recent MCQs

‌
‌

‌
‌

‌
‌

‌
‌

‌
‌
Show more MCQs

Recent flashcard sets

‌
‌

‌
‌

‌
‌

‌
‌

‌
‌
Show more flashcards