Feed
Library
Learning
Discuss
Leaderboard
Journal
Sign in
Login
Sign up
Sign in
Feed
Library
Learning
Discuss
Leaderboard
Journal
Panda phopho
almost 6 years ago
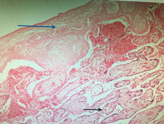
What is the cross section ?
Medicine
Medical
Medicalstudent
Histology
Placenta
show 2 more
572
4
1
Top rated comment
z
zorin
almost 6 years ago
Ovaries??
3
Reply
Other comments
Sign in
to post comments. You don't have an account?
Sign up now!
MH
Mohammad Hosein
almost 6 years ago
A lymphatic organ?
1
Reply
AS
Abhishek S
almost 6 years ago
Placenta
1
Reply
Panda phopho
almost 6 years ago
Placenta
0
Related posts
Early interproximal caries
Caries of dentine
A translucent zone
Gingival fibromatosis.
Gingival fibromatosis
Suturing
Dentigerous cyst.
Dentigerous cyst.
Acne
Neurofibromatosis
Recent MCQs
Show more MCQs
Recent flashcard sets
Show more flashcards
Feed
Learn
Add
Search
Discuss