
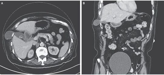
An 82-year-old man presented with a 1-year history of episodic pain and a bulge along the right costal margin. He had undergone a minithoracotomy 4 years earlier for biopsy of recurrent squamous-cell carcinoma in the right lung. Computed tomography revealed transdiaphragmatic herniation of the gallbladder fundus through the seventh intercostal space (Panel A shows an axial view, and Panel B a coronal view). There were no stigmata of inflammation or ischemia, and the hernia size appeared to be stable on staging cross-sectional imaging. Transdiaphragmatic intercostal herniation is a rare occurrence, usually involving the liver, bowel, or omentum, and is most often associated with thoracic trauma. Surgical management requires both diaphragmatic repair and reconstruction of the chest-wall defect. In this case, repair was deferred, given the patient's poor functional status and the minimally symptomatic nature of the hernia. The patient died from complications of widely metastatic cancer 5 months later.
Nice, good job. Which country do you study medicine? Which grade are you?