MEDizzy
MEDizzy
Dr. Fatemeh Kourkinejad
Dr. Fatemeh Kourkinejadalmost 6 years ago
What is your diagnosis?

What is your diagnosis?

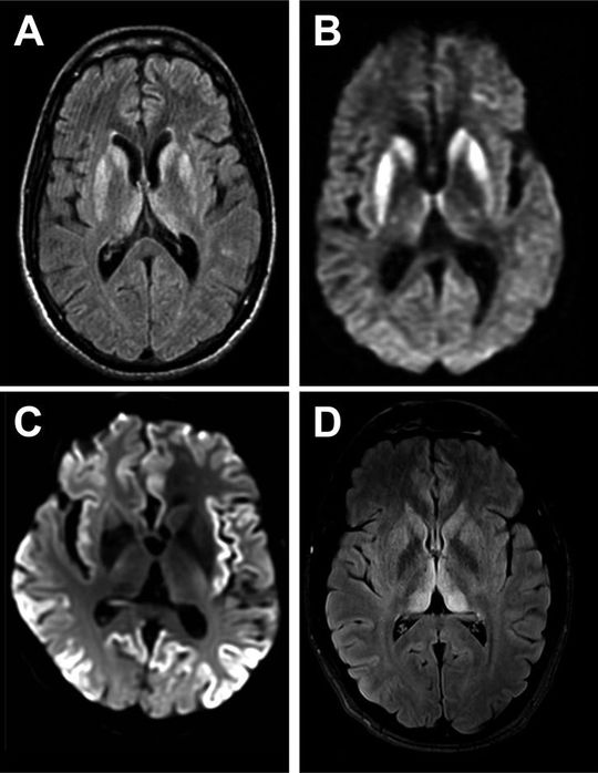
65 year old male with ataxia and cognitive disorder

19
Top rated comment
almost 6 years ago

Alzaimer

almost 6 years ago

CTJ disease

Other commentsSign in to post comments. You don't have an account? Sign up now!
almost 6 years ago

Alzheimer

almost 6 years ago

CJD disease

almost 6 years ago

What is ctj?

almost 6 years ago

Alzheimer's disease

almost 6 years ago

Alzheimer

Recent MCQs















Show more MCQs

Recent flashcard sets















Show more flashcards