
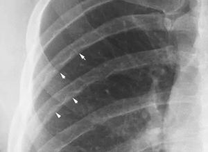
Hints-look the lower border of the ribs.
Here X ray plate showing inferior rib notching (Roesler Sign).It is seen in coarctation of aorta due to enlarge collateral vessels.Other causes include interrupted aortic arch,subclavian artery obstruction etc.