
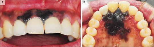
A 60-year-old woman presented with a 2-month history of black discoloration on her upper gums after blunt trauma to the mouth. She had previously been well and was a lifelong nonsmoker and nondrinker. On examination, diffuse black pigmentation was seen on both the labial and palatal sides of the anterior maxilla (Panels A and B, respectively), without tooth mobility or palpable lymphadenopathy. No bone destruction was detected on a standard dental radiograph. A hypermetabolic signal was seen in the anterior maxillary area on positron-emission tomography–computed tomography, with no metastatic spread to the lymph nodes. Incisional biopsy and histologic analysis revealed malignant melanoma. Primary malignant melanoma is uncommon in the oral cavity. Unfortunately, diagnosis may be delayed because oral malignant melanomas are frequently asymptomatic and painless in their early stages. The lesion was resected, and the patient received chemotherapy. At the last follow-up, 26 months after the initial diagnosis, she had recurrent disease and distant metastases.