
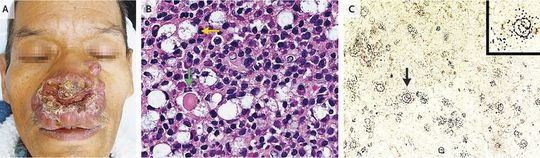
A 63-year-old man presented with a 10-year history of a mass growing in the central region of his face, involving his nose and upper lip. He had lived his entire life in an isolated tropical region of Mexico and had received no previous treatment for this condition. Physical examination revealed a systemically well man with bilateral nostril obliteration, palate infiltration, and loss of upper teeth (Panel A). Histopathological examination revealed foamy macrophages (Mikulicz’s cells; Panel B, yellow arrow; hematoxylin and eosin) with intracytoplasmic bacilli plasma cells with Russell bodies (green arrow). Culture of tissue fragments showed the presence of klebsiella. Panel C shows intracellular Klebsiella rhinoscleromatis (black arrow; Warthin–Starry stain), but no cellular forms are clearly shown; the inset shows the area of interest on a larger scale. Rhinoscleroma is a chronic bacterial infection that is typically caused by the gram-negative bacillus K. rhinoscleromatis. Other conditions that may be associated with central facial destruction include giant-cell carcinoma, natural killer T-cell lymphoma, granulomatosis with polyangiitis, tuberculosis, leprosy, leishmaniasis, blastomycosis, cryptococcosis, and syphilis. The patient was offered treatment with ciprofloxacin but preferred to use traditional Mexican herbal medicine and was lost to follow-up.