MEDizzy
MEDizzy
Top rated comment
about 6 years ago

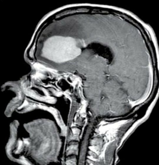
What us the history, and examination finding ?? It could be tumor , vascular malformation , less probably to be henatoma .

Other commentsSign in to post comments. You don't have an account? Sign up now!
about 6 years ago

Hemorrhage

Recent MCQs















Show more MCQs

Recent flashcard sets















Show more flashcards