
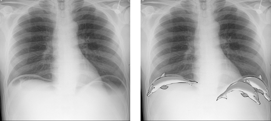
🐬The leaping dolphin sign 🐬 This sign was first described by Cho and Baker on supine abdominal films where intraperitoneal gas would highlight different slips of muscle in the diaphragm, thus giving arcuate lucencies which converged superomedially and resembled leaping dolphins. This can also be seen occasionally on erect films, either CXR or AXR. Other marking signs of pneumoperitoneum are:🗝️🗝️🗝️ 1.Rigler's sign (gas outlining both sides of bowel) 2.the triangle sign (the angulation can only occur when the gas is outside the wall) 3.hyperlucent liver (due to overlying gas) 4.anterior superior oval sign (gas locules projected over the liver) 5.ligamentum teres and falciform ligament signs (gas outlining the respective ligaments) 6.the hepatic edge sign (gas locules on the inferior surface of the liver) 7. The football sign (oval lucency due to collection of a large amount of gas anteriorly on a supine radiograph).