
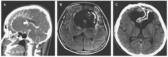
A 55-year-old man presented with a 3-year history of visual impairment associated with personality changes. His sister had died after an intracerebral aneurysmal rupture. An examination revealed poor visual acuity in the right eye with a field defect, as well as impaired neurocognition. Computed tomographic (CT) angiography (Panel A) and magnetic resonance imaging of the brain revealed a partially thrombosed, calcified, 7-cm aneurysm of the anterior communicating artery, with surrounding edema (Panel B). Thrombectomy and aneurysmal repair were performed to reduce the risk of aneurysmal rupture and to alleviate the mass effect. The patient recovered from surgery and had improvement in his neurocognitive deficits and vision, and he was able to return to work. His condition remained stable 2 years later, and delayed CT showed collapse of the aneurysmal sac (Panel C). Giant aneurysms (>2.5 cm) represent a small proportion of brain aneurysms but are associated with a high rupture rate when left untreated. Approximately 20% of patients with a brain aneurysm have a first-degree relative with a brain aneurysm.
Thank you for sharing this. Can you explain for me where the aneurysmal sac is? And what is the empty space (panel C) which is left after the operation.