
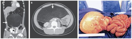
A 13-year-old girl with a history of abdominal discomfort was admitted with an acute onset of bilious vomiting. During the preceding weeks, the patient had reported having constipation, nausea, vomiting, and abdominal and back pain of increasing intensity. The patient’s vital signs were within normal limits. The physical examination revealed diffuse abdominal tenderness without guarding and no palpable masses. Plain radiography of the abdomen that was performed earlier the same day showed a nonspecific gas pattern but was otherwise normalComputed tomography performed without the use of contrast material showed a lesion measuring 19.5 cm by 16.6 cm by 8.8 cm that had characteristics of a lipoma. Liposarcoma could not be ruled out, since the lesion contained septations and encompassed the adjacent bowel (Panels A and B, arrows). The patient underwent resection of the primarily mesenteric tumor with adjoining bowel (Panel C). Results on pathological analyses were initially inconclusive; however, genetic sequencing confirmed the diagnosis of benign lipoma. Benign lipomas occur infrequently, especially in children, although patients who are obese or who have diabetes or a family history of lipoma are at increased risk. The patient, who had no known family history or associated risk factors, was discharged after an uneventful postoperative period, with no recurrence of symptoms at follow-up.
Patient with ileus obstruction, abdominal distended, bile vomitus, can develope to ileus strangulation if neglegted.