
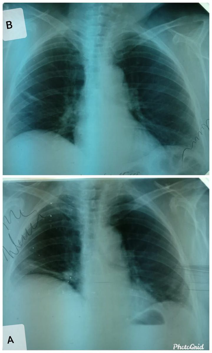
A 65 years old female was hospitalized with the symptoms of lobar pneumonia, the X ray was seen with a very interesting picture with an uplift of diaphragm (panel A). The patient was treated with antibiotics the treatment was also followed with detoxification and oxygen therapy and after 2 weeks fluroscopy was done again and the another picture (panel B), the infiltration reduced, the diaphragm was also in position and the lung picture came to normal