
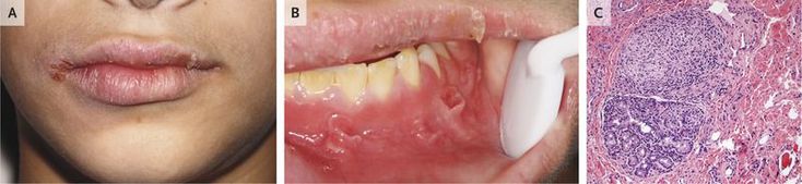
A 13-year-old boy presented with a 9-month history of episodic unilateral swelling of the face and oral pain. He reported having loose, nonbloody stools. Physical examination revealed asymmetric swelling of the face and lips with perpendicular fissuring (Panel A), and intraoral examination revealed discrete gingival erythematous hyperplasia and epulis fissuratum–like soft-tissue tags in the mucobuccal fold (Panel B). Granulomatous inflammation consistent with Crohn’s disease was found on histopathological examination (Panel C), and the patient was referred to a pediatric gastroenterologist. He was found to have tenderness to palpation in the right lower quadrant and periumbilical region, a rectal fissure, and painless rectal skin tags. Colonic biopsies showed chronic active colitis that was most prominent in the cecum and ascending colon, which confirmed a diagnosis of Crohn’s disease. Therapy with mesalamine and prednisone was initiated and slowly tapered. Maintenance of remission was achieved with mercaptopurine. The oral lesions slowly resolved over a 1-year period. At a follow-up visit 2 years after the initial presentation, the patient remained asymptomatic.