
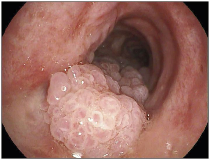
A 63-year-old man presented to the pulmonary clinic with a 3-month history of worsening dry cough and exertional dyspnea. He had a history of infection with the human immunodeficiency virus and had been receiving prescribed antiretroviral treatment intermittently for several years. His CD4 count was 81 cells per cubic millimeter. Expiratory wheezing was noted on lung auscultation. Computed tomography of the chest revealed multiple polyploid lesions protruding into the lumen of the trachea and the left and right main-stem bronchi. Findings on bronchoscopy were notable for numerous sessile, friable, wartlike lesions on the posterior wall of the trachea and the left and right main-stem bronchi. Histologic examination revealed squamous papillomas with moderate dysplasia on the surface epithelium, and human papilloma virus type 11 was detected on polymerase-chain-reaction assay. A diagnosis of respiratory papillomatosis was made. The patient underwent laser-assisted mechanical debulking and reported substantial abatement of his symptoms. On follow-up 7 months later, the CD4 count had increased to 171 cells per cubic millimeter. He had recurrence of symptoms and underwent further debulking of recurrent papillomas. Nicola Dentale, M.D., Ph.D. Rocco Trisolini, M.D. Policlinico S. Orsola, Bologna, Italy source: nejm.org