MEDizzy
MEDizzy
Medstudents ♕♛
Medstudents ♕♛almost 8 years ago
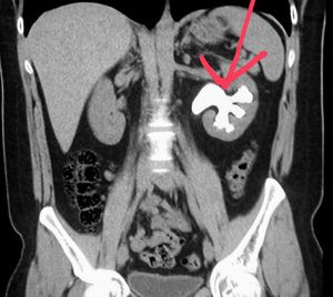
Large kidney stone

Large kidney stone

Abdominal CT shows a large stone (staghorn calculus) of the kidney in a patient with blood in the urine and pain.

Source: https://pin.it/efj7oqotwz6fym
22
Other commentsSign in to post comments. You don't have an account? Sign up now!

Recent MCQs















Show more MCQs

Recent flashcard sets















Show more flashcards