
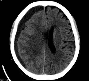
A 73-year-old man who is a chronic alcoholic is brought to the Emergency Department by an ambulance. He was found collapsed in the street. On admission his airway, breathing and circulation are satisfactory. His GCS is 13/15 (eyes = 3, verbal = 4, movement = 6) although his level of consciousness appears to be fluctuating. There are no obvious signs of external head injury. A CT head (without contrast) is performed: What is the most likely diagnosis? A-Subarachnoid haemorrhage B-Wernicke's encephalopathy C-Subdural haematoma D-Meningioma E-Extradural haematoma
There is repeated minor trauma fpr a period of time leading to chronicSDH.
not sub arachanoid hemorhage becuase it does not create a space occupying image not meningioma becuase of no edema in the picture and no mass sub dural fits because of the concave border, epidural will have convex
yup, its great thing to exclude answers before giving the right one, this shows that you know all about other options, this is also a chronic SDH