
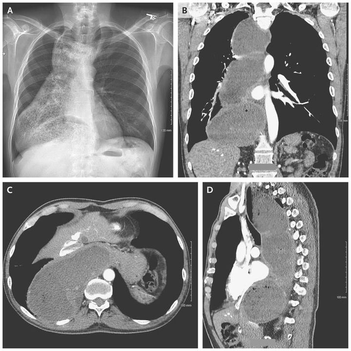
A 63-year-old man with a history of hypothyroidism presented with a 10-year history of dysphagia to solid foods and liquids. He had had worsening of his symptoms for 6 months before presentation, with an associated weight loss of 27 kg (60 lb). An anterior–posterior radiograph of the chest obtained on admission while the patient was in the upright position showed a mediastinal structure with internal debris (Panel A). Computed tomographic imaging revealed food extending from the proximal esophagus to the esophagogastric junction (Panel B shows the coronal scan, Panel C the cross-section view, and Panel D the sagittal view). Esophagogastroduodenoscopy revealed a dilated esophagus with food, and no strictures or masses were identified. The patient received a diagnosis of achalasia causing megaesophagus. Achalasia is caused by impaired relaxation of the lower esophageal sphincter and typically manifests as dysphagia to both solid foods and liquids. The patient underwent esophagectomy with a gastric pull-through procedure, and a jejunal feeding tube was placed. Eight months later, he had good oral intake and the tube was removed.