MEDizzy
MEDizzy
MRI Technologist
MRI Technologistalmost 9 years ago
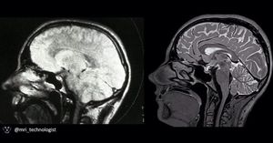
Early brain MRI scan from the 1980s

Early brain MRI scan from the 1980s

Early brain MRI scan from the 1980s (left) and nowadays high resolution 3D T2-w TSE (right) acquired at 3.0 Tesla, Siemens Prisma.

0
Other commentsSign in to post comments. You don't have an account? Sign up now!

Recent MCQs















Show more MCQs

Recent flashcard sets















Show more flashcards