
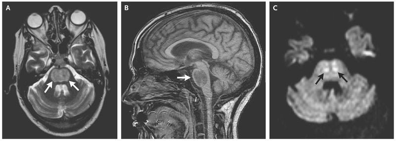
A 35-year-old man presented with acute alcoholic hepatitis and encephalopathy. He was hyponatremic, with a sodium level of 119 mmol per liter. Over the next 5 days his clinical condition improved with supportive treatment, which included lactulose and intravenous vitamins and the careful administration of normal saline for hypovolemia. His serum sodium level gradually increased by approximately 3 mmol per liter per day until reaching 135 mmol per liter. On the sixth day, his level of consciousness declined to a score of 6 on the Glasgow Coma Scale (a scale of 3 to 15, with lower scores indicating reduced levels of consciousness). Findings on computed tomography of the head, performed without the administration of contrast material, were unremarkable. Over the next 2 days, neurologic examination revealed tetraparesis with normal tone. The quadriceps and biceps reflexes were brisk, and the plantar reflex was upward in both feet, but other reflexes were normal. Magnetic resonance imaging of the brain revealed a central area of high T2 (Panel A, arrows) and low T1 (Panel B, arrow) signaling in the pons, with restricted diffusion (Panel C, arrows). These findings are typical in patients with central pontine myelinolysis, or osmotic demyelination syndrome, which typically occurs in response to overly rapid correction of hyponatremia (usually a correction of more than 9 mmol per liter per 24 hours). Clinical features can range from confusion and drowsiness to dysphagia, dysarthria, varying degrees of paresis, and coma or locked-in syndrome. Alcoholism and liver disease predispose patients to central pontine myelinolysis. Our patient subsequently regained the use of his arms and legs slowly over the course of the next year, but bulbar palsy persisted, necessitating permanent placement of a gastrostomy tube for feeding.
Moral of the story: slowly correct hyponatremia (or anything, for that matter)
I was diagnosed as a Hepatitis B carrier in 2015, with early signs of liver fibrosis. At first, antiviral medications helped control the virus but over time, resistance developed, and the effectiveness faded. I began to lose hope. In 2021, I discovered NaturePath Herbal Clinic despite my skepticism, I decided to give their herbal treatment a try.To my surprise, after just six months, my blood tests came back negative for the virus.It was nothing short of life-changing.I never expected such incredible results from a natural treatment. But it not only cleared the virus it restored my hope, my health, and my peace of mind.If you or someone you know is battling Hepatitis B, I truly encourage you to explore the natural healing path offered by NaturePath Herbal Clinic. It gave me a second chance and it might do the same for you.www.naturepathherbalclinic.com info@naturepathherbalclinic.com