
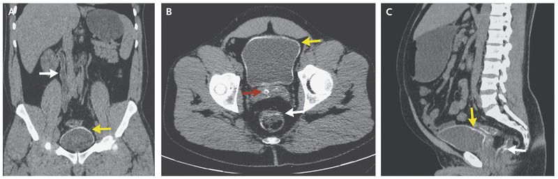
A 43-year-old man presented with a 1-month history of dysuria and intermittent hematuria. Similar episodes had occurred several times in the 6 months preceding presentation, along with episodes of rectal bleeding. The physical examination was unremarkable. Laboratory investigations revealed an elevated albumin:creatinine ratio (96 mg of albumin per millimole of creatinine), with dysmorphic red cells in the urine. Two urine cultures were sterile. A serum schistosoma antibody titer was 1:256. Renal ultrasonography revealed mild hydroureteronephrosis. Computed tomography of the abdomen and pelvis without the administration of contrast material revealed hydroureteronephrosis of the right ureter and kidney, with faint mural calcification of the ureter (Panel A, white arrow) and smooth mural calcification of the bladder (Panels A, B, and C, yellow arrows). There was also calcification of the seminal vesicles (Panel B, red arrow) and the wall of the rectosigmoid bowel (Panels B and C, white arrows). This pattern of calcification is typical of chronic genitourinary and gastrointestinal schistosomiasis, in which the larvae of the schistosoma parasite are deposited on the walls of the organs and become calcified. Diagnosis is based on a history of exposure along with a strong clinical suspicion of infection and the characteristic radiographic findings. Tuberculosis may also cause calcification of the bladder wall and should be considered in the differential diagnosis.