MEDizzy
MEDizzy
Dr Vijay Sharma
Dr Vijay Sharma about 6 years ago
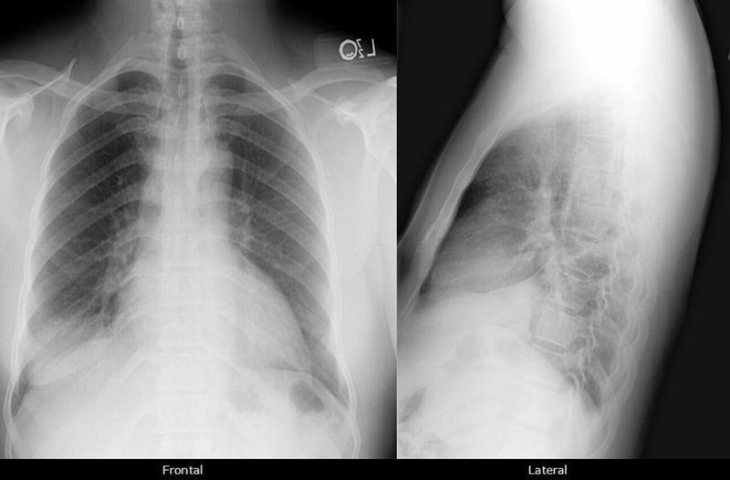
What are you find it and diagnosis please

What are you find it and diagnosis please

9
Top rated comment
about 6 years ago

R sided lower lobe consolidation ? Pneumonia

about 6 years ago

Where do you see the consolidation?? Is it at the in the lower rt lobe?! I wonder if it is pleural effusion?!!

Other commentsSign in to post comments. You don't have an account? Sign up now!

Recent MCQs















Show more MCQs

Recent flashcard sets















Show more flashcards