Feed
Library
Learning
Discuss
Leaderboard
Journal
Sign in
Login
Sign up
Sign in
Feed
Library
Learning
Discuss
Leaderboard
Journal
Medvision
over 6 years ago
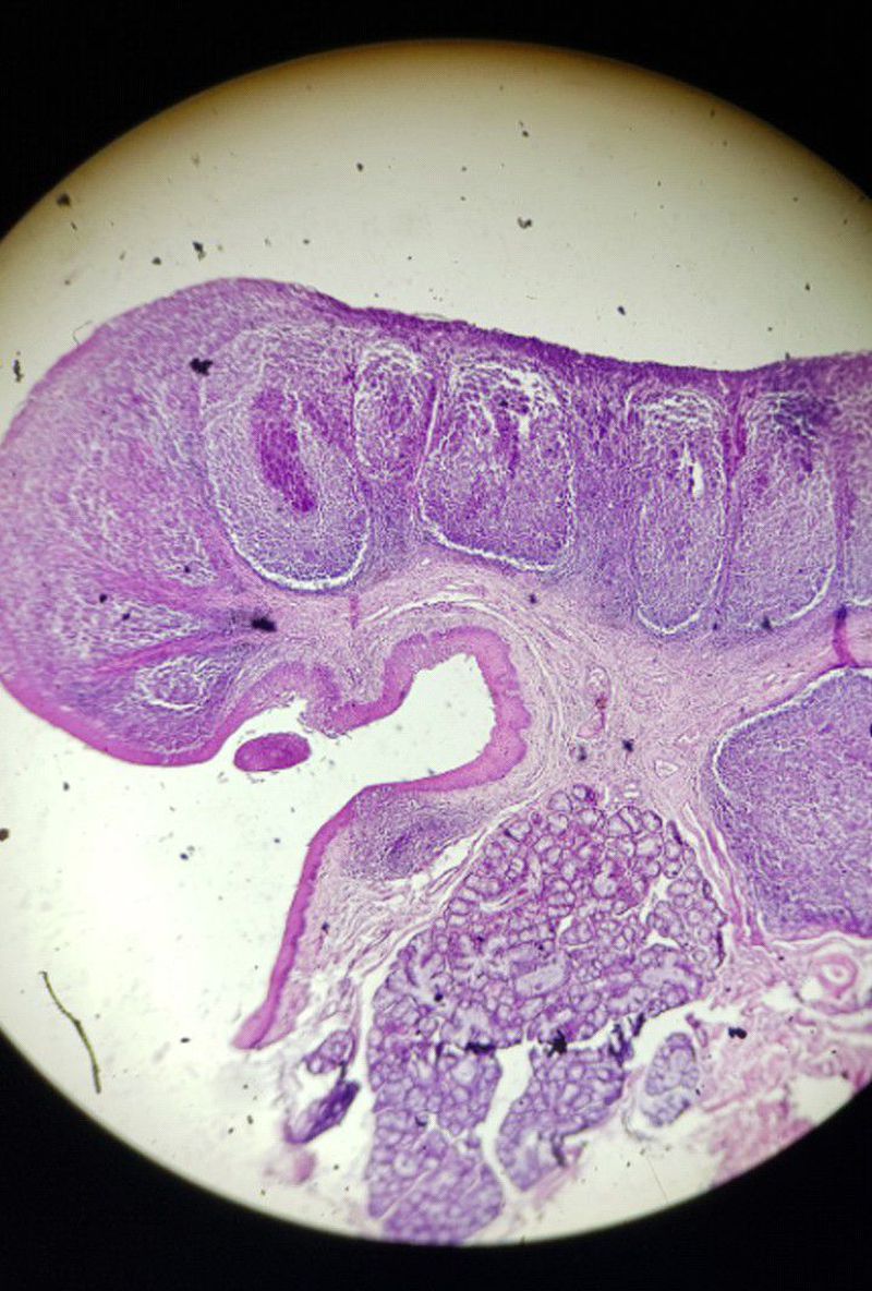
Slide identification 😊Identification point. And in which condition removal of this is required?
Medical
Anatomy
Histology
5
1
2
Other comments
Sign in
to post comments. You don't have an account?
Sign up now!
Related posts
Acne
Brain Blood Supply
Anatomy of Oral Cavity
Neck Muscles
https://www.facebook.com/PrimalTRTOfficial/
FlexiLeaf
https://www.facebook.com/HumeHealthBodyPodOfficial/
Pulsar Vexline Review 2026 - Legit Or Scam Trading Platform? Fact Check
Recent MCQs
Show more MCQs
Recent flashcard sets
Show more flashcards
Feed
Learn
Add
Search
Discuss