
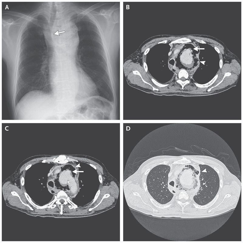
A 66-year-old man with hypertension presented with a 1-month history of fever and 4 days of hoarseness. He reported no chest pain, cough, or dyspnea. His temperature was 38.7°C, but the remainder of the physical examination was unremarkable. The peripheral-blood leukocyte count was elevated, and a chest radiograph showed enlargement of the aortic arch, with deviation of the trachea to the right side (Panel A, arrow). Computed tomography of the chest revealed a pseudoaneurysm in the aortic arch (Panels B and C, arrows), surrounded by extensive gas collection (Panels B, C, and D, arrowheads). Treatment with piperacillin–tazobactam was started. Blood cultures grew Salmonella enterica,and a diagnosis of salmonella aortitis was made. The patient had a sudden collapse on rupture of the infected aneurysm and underwent urgent graft-replacement surgery followed by stent replacement after the postoperative development of an esophageal fistula. The patient initially recovered but died from an unknown cause several months after surgery. The infection of an aneurysm of the aortic arch with salmonella species is rare and is associated with high morbidity and mortality.