
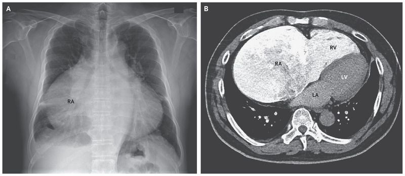
A 57-year-old man presented to the emergency department with peripheral edema. Findings on physical examination were consistent with atrial fibrillation, tricuspid regurgitation, and heart failure on the right side. A radiograph of the chest showed a high cardiothoracic ratio of 0.82 and a very large right atrium (RA; Panel A). Transthoracic echocardiography (Fig. S1 in the Supplementary Appendix, cardiac computed tomography (Panel B, and Figs. S2 and S3 in the Supplementary Appendix), and cardiac magnetic resonance imaging (Fig. S4 in the Supplementary Appendix) revealed a giant right atrium, a dilated right ventricle (RV) with preserved systolic function, grade 4/4 functional tricuspid regurgitation, high-normal right-ventricular systolic pressure, and normal size and function of the left ventricle (LV). LA denotes left atrium. No shunt was identified. Medical therapy, including oral anticoagulation for atrial fibrillation, was initiated, with good response, and the patient’s condition remained stable 1 year after presentation. Giant right atrium is a rare congenital condition that causes functional tricuspid regurgitation and heart failure on the right side. It is usually diagnosed in childhood. Other, more common causes of right atrial enlargement such as pulmonary hypertension, tricuspid-valve stenosis, and Ebstein’s anomaly were not identified in our patient.