MEDizzy
MEDizzy
Dr Vijay Sharma
Dr Vijay Sharma over 1 year ago
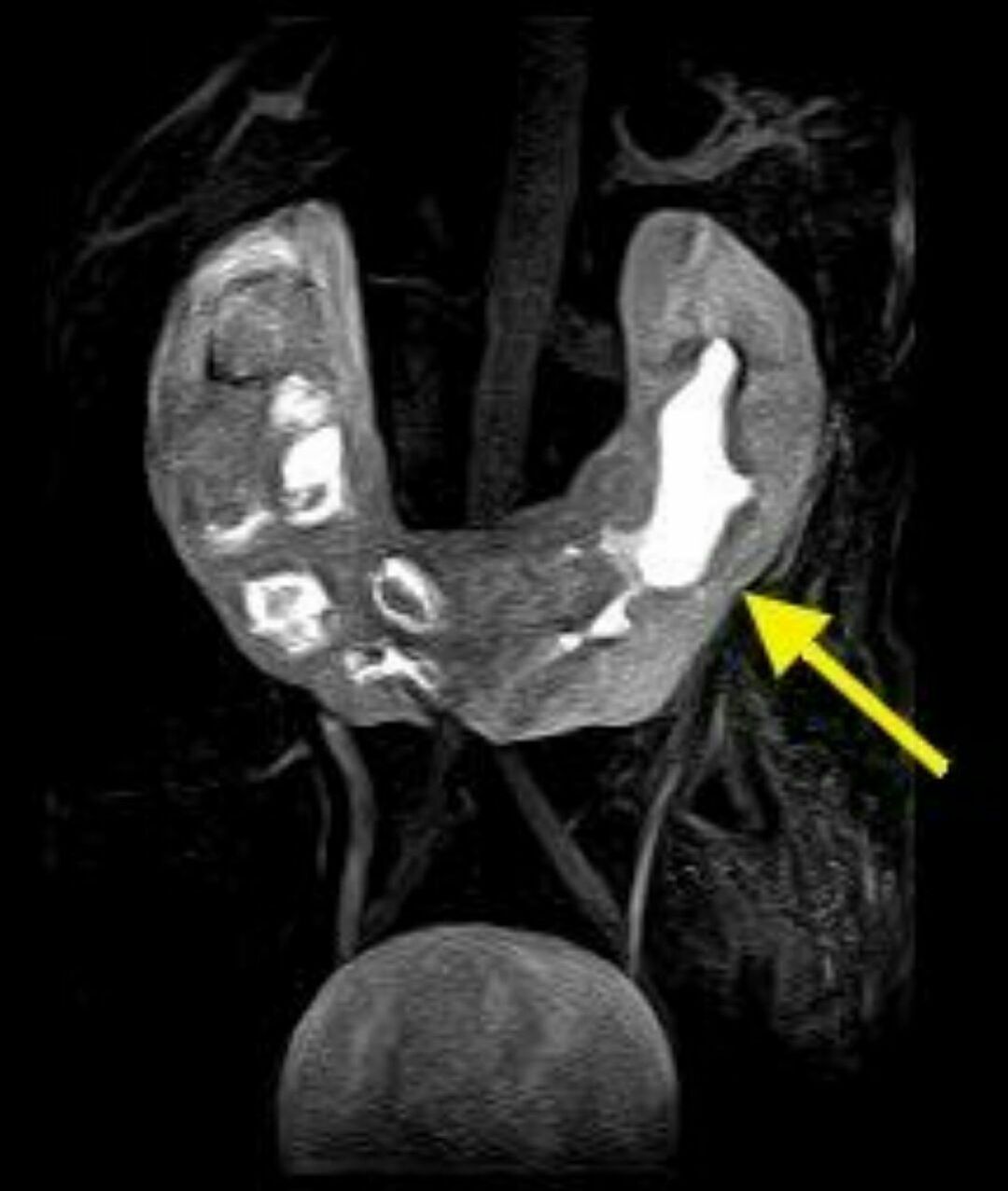
Horseshoe kidney

Horseshoe kidney, also known as renal fusion is a congenital disorder affecting about 1 in 500 people that is more common in men, often asymptomatic, and usually diagnosed incidentally. In this disorder, the patient's kidneys fuse together to form a horseshoe - shape during development in the womb. The fused part is the isthmus of the horseshoe kidney.

Horseshoe kidney Horseshoe kidney, also known as renal fusion is a congenital disorder affecting about 1 in 500 people that is more common in men, often asymptomatic, and usually diagnosed incidentally. In this disorder, the patient's kidneys fuse together to form a horseshoe - shape during development in the womb. The fused part is the isthmus of the horseshoe kidney.

28
Other commentsSign in to post comments. You don't have an account? Sign up now!

Recent MCQs















Show more MCQs

Recent flashcard sets















Show more flashcards