
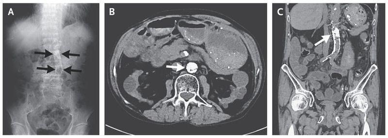
A 62-year-old man presented with a 3-week history of abdominal pain and refractory ileus. He had a 6-year history of continuous ambulatory peritoneal dialysis and a 10-year history of hemodialysis. A radiograph (Panel A) and computed tomographic (CT) scans (Panel B shows the axial view, and Panel C the coronal view) of the abdomen revealed marked calcification (arrows) of the wall of the abdominal aorta, with near-total occlusion and severe stenosis of the superior mesenteric artery. An echocardiogram showed severe aortic-valve stenosis with moderate regurgitation, moderate mitral-valve stenosis with regurgitation, and tricuspid-valve regurgitation. Although the severe stenosis of the aorta and the superior mesenteric artery was considered to be a causative factor in the formation of the ileus, total replacement of the abdominal aorta with bypass of the superior mesenteric artery was considered to be high-risk owing to the patient’s coexisting conditions. Aortic-valve replacement, mitral-valve repair, and tricuspid annuloplasty were performed to augment the cardiac output. After surgery, the ileus and abdominal symptoms subsided, despite the persisting stenosis and calcification of the abdominal aorta.