
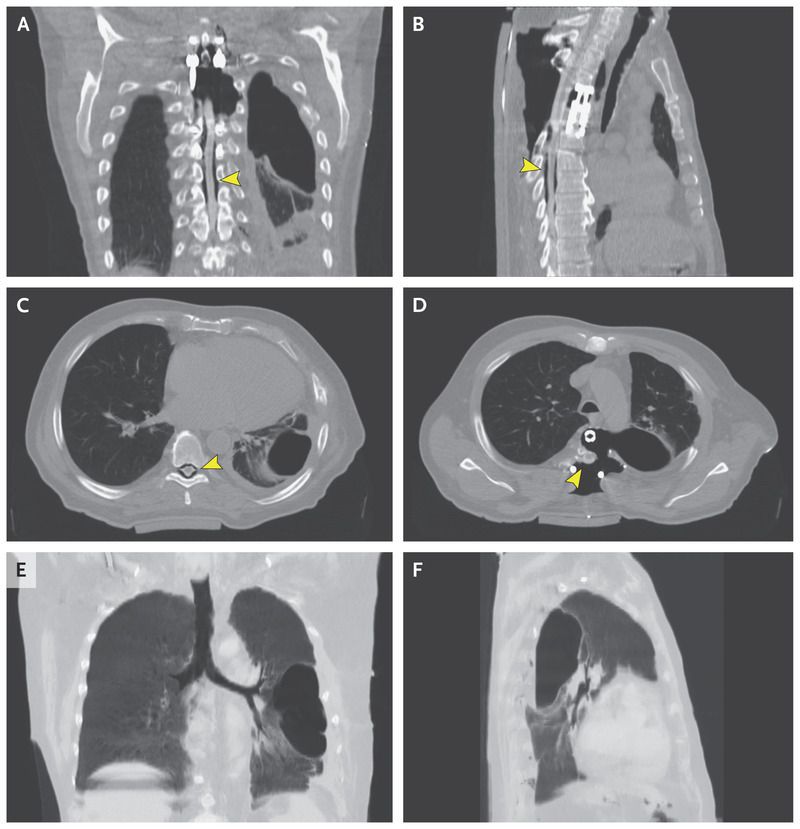
A 65-year-old man was admitted to the hospital to undergo adjuvant radiotherapy after having previously undergone tumor mass reduction and anterior and posterior stabilizing spinal surgery for a synovial sarcoma. On physical examination, ballooning of the right paravertebral area was noted, which increased when the Valsalva maneuver was performed (see video). The phenomenon was caused by a pneumothorax that developed after the surgical procedure and propagated along the anterior and posterior surgical approaches. The entrapped air gained access to the epidural space, which led to extensive pneumorrhachis (Panels A through D, arrowheads) and to subcutaneous emphysema (Panels B and D). Pneumothorax is diagnosed in 3 to 5% of patients who undergo spinal surgery along the anterior approach and is usually caused by small pleural injuries. In our patient, no injury of the large airways was present (Panels E and F). The patient underwent revision surgery and started radiotherapy 3 weeks after the procedure; no further complications occurred. At a 6-month follow-up visit, the patient had complete remission of the sarcoma and had not had a recurrence of pneumothorax or pneumorrhachis.