
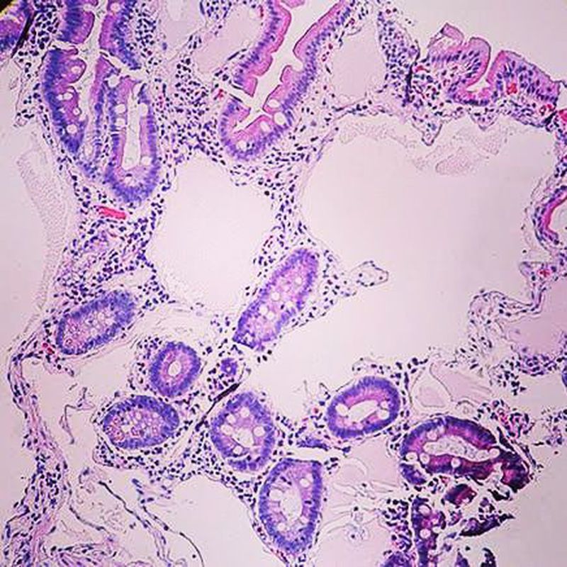
Intestinal lymphangiectasia is a rare, benign disease characterized by hypoproteinemia, edema, and lymphocytopenia, resulting from focal or diffuse dilatation of intestinal mucosal, submucosal, and subserosal lymphatics and loss of lymph fluid into the gastrointestinal (GI) tract.