
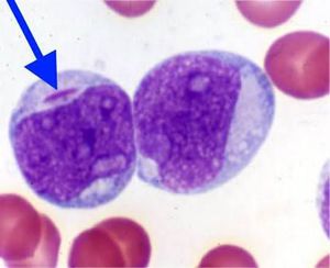
Auer rods are clumps of azurophilic granular material that form elongated needles seen in the cytoplasm of myeloid leukemic blasts. They can be seen in the leukemic blasts of acute myeloid leukemia with maturation and acute promyelocytic leukemia (respectively known as acute myeloid leukemia M2 and M3 in the FAB classification) and in high grade myelodysplastic syndromes and myeloproliferative syndromes. They are composed of fused lysosomes/primary neutrophilic granules and contain peroxidase, lysosomal enzymes, and large crystalline inclusions.