
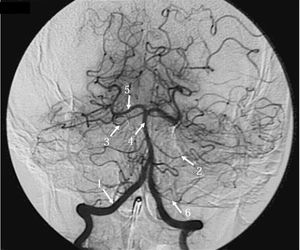
Can you identify each of the numbered arteries?
1-Vertebral a. 2-AICA 3-Superior Cerbellar a 4-basilar a. 5-Posterior cerbral a 6-PICA i think
Its exactly right or wrong i don't known 1.internal carotid artery 2. Posterior cerebral artery 3.rt mca 4. Anterior communicating antery 5. Mca 6.posterior cerebral artery
Nice try, but unfortunately none of the answers is right, i'll write them if no one gets there, let's just wait a little :)
1-vertebral artery ( first branch of the first part of the subclavian artery.,,,, pass through the foramen transversarium of cervical vertebra ,except C7 vertebra.) 2.anterior inferior cerebellar artery 3.superior cerebellar artery 4.Basilar artery ( pass through the basilar groove of pons) 5.posterior cerebral artery (terminal branch of basilar artery) 6.posterior inferior cerebellar artery ( branch of the vertebral artery)