
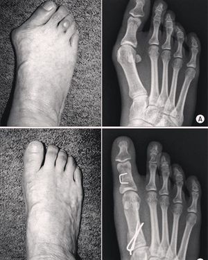
It is a deformity seen in the first metatarsal as it gets deviated medially with lateral rotation of the hallux. It is of higher incidence in females than males of a ratio of 2:1 to 4:1. About 70% of patients with Hallux Valgus have a positive family history. Treatment can be opertaive and non-operative. Non-operative treatment mainly focuses on wearing a special shoes, while operative treatment is by surgical correction. Figure(A, and B) shows the deformity before and after the surgery.