
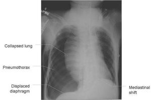
It is a serious type of pneumothorax that can become life threatening condition if left untreated with an imediate care. It results from positive pressure build-up secondary to a flap valve mechanism (or one-way valve) resulting in total lung collapse. There will be also Increased intrathoracic pressure restricts cardiac output that may result in shock and death. Symptoms are unilateral, pleuritic chest pain, breathlessness, respiratory distress, and shock symptoms.This X-Ray shows the radiological findings in case of tension pneumothorax.