
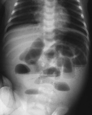
Intestinal obstruction could occur in small or larger intestine, the most common cause of all intestine obstructions is post-operative adhesions, but notice that the most common cause of large intestine obstruction is colorectal cancer in elderly people. Other causes of intestinal obstruction are henrias as femoral hernia carries the highest risk for obstruction, duodenal atresia, gallstones or paralytic ileus. Dehydration is common due to water remaining unabsorbed in the bowel or continuous vomiting. Symptoms are lack of flatus, constipation, high pitched bowel sound, nausea/vomiting, abdominal distention and tenderness. Diagnosis is by lab tests which will show elevated BUN, Hematocrit, Creatinine, LDH, CK, and in some cases WBC. This X-Ray shows dilated intestinal loops and ladder like appearence due to air-fluid levels.