
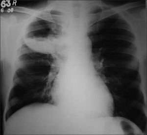
This X-Ray shows multiple air-fluid levels in the upper right lobe which is a characteristic of lung abscess.Lung abscess is suppurative inflammation of lung tissue with normal parenchyma, most commonly affects right lung. This results from autodigestion of the lung tissue by the inflammatory cells. Causes of lung abscess can be aspiration of oropharyngeal material, cancer, or bacterial pneumonia. The most common bacteria to be involved are bacteroides, peptostreptococcus, and fusobacterium. Symptoms of lung abscess include fever, malaise, cough with foul smelling sputum, weight loss and night sweats.