
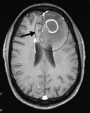
Note the ring-enhanced lesions with surrounding edema arrowed.Toxoplasmosis is an infection caused by toxoplasma gondii. It is seen in immunocompromised patients with CD4 < 100cells/μL blood. The patient will present with mental status changes and seizures. Evaluation is by MRI wirh gadolinium. Medical treatment is pyrimethamine, sulfadiazine, and leucovorin.