
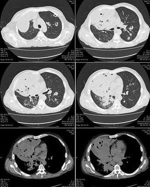
This chest CT Scan shows cavitary formation caused by the nocardia infection.Nocardiosis is an infection caused by fungus like bacteria called nocardia. It can produce two types of infections either pulmonary or cutaneous. In Pulmonary Nocardiosis there will cavitary formation that is sometimes misdiagnosed with TB, with Immunocompromised patients being in high risk. In Cutaneous Nocardiosis there will be cellulitis with abscess formation that is usually caused by traumatic implantation. Treatment of both types is Sulfonamides or TMP-SMX.