
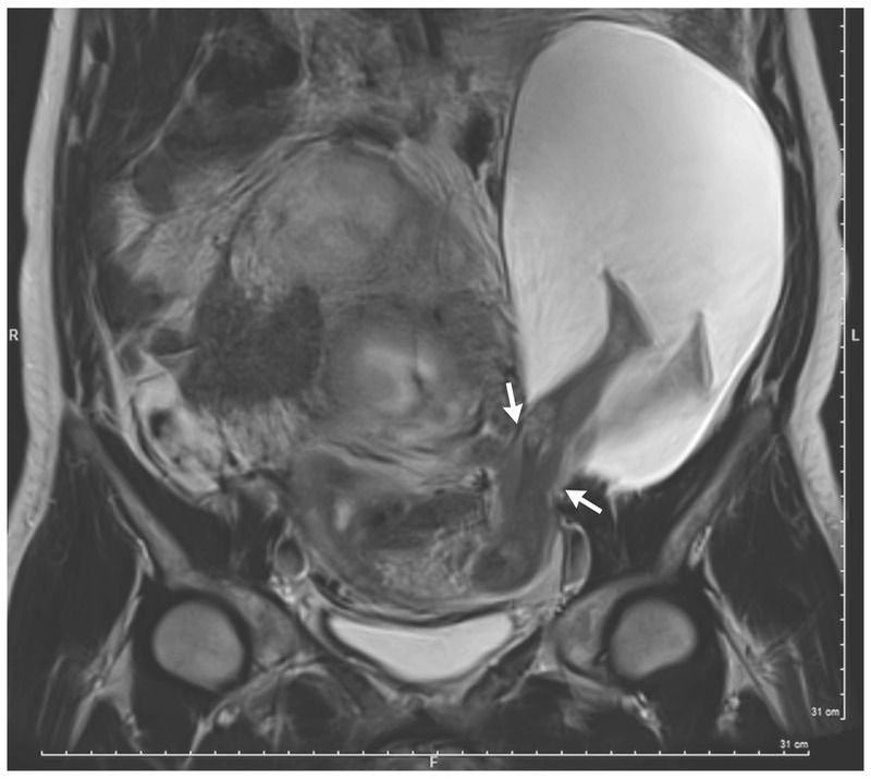
A 33-year-old asymptomatic woman (gravida 6, para 5) presented at 22 weeks of gestation with a large herniation of the amniotic sac through the left uterine wall that was detected by routine ultrasonography. She had had five previous cesarean sections through a transverse incision of the lower uterine segment and no previous vaginal deliveries. Magnetic resonance imaging revealed a 2.5-cm rupture of the left uterine wall (arrows) and a large amniocele that measured 19 cm by12 cm by 9 cm and contained fetal legs. The patient and her partner were informed of the potential risks of these findings, including complete uterine rupture, placenta accreta, hysterectomy, and preterm birth. They opted to proceed with the pregnancy with close monitoring. Repeat ultrasonography at 30 weeks of gestation revealed that the uterine dehiscence had extended 5 cm and the herniated sac had grown and included the fetal abdomen and legs. At 30 weeks of gestation, a healthy male newborn weighing 1385 g was delivered by cesarean section. After the delivery, the left posterior uterine rupture and large amniocele were identified and repaired. The patient had an uncomplicated postoperative course and was discharged from the hospital 5 days later. At 6 months of age, the baby was alive and well.