Feed
Library
Learning
Discuss
Leaderboard
Journal
Sign in
Login
Sign up
Sign in
Feed
Library
Learning
Discuss
Leaderboard
Journal
Dr Vijay Sharma
about 6 years ago
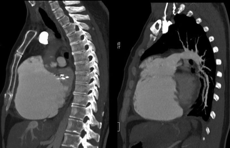
Ebstein Anomaly
Medicine
Surgery
Medstudent
Doctor
Mbbs
show 8 more
23
2
5
Other comments
Sign in
to post comments. You don't have an account?
Sign up now!
AutumnFrost
about 6 years ago
Sir can you please tell what exactly is the positive finding here?
0
Reply
#
#dreamer
about 6 years ago
enlargement of heart
0
Reply
Related posts
Lipoma
Scope of practice of NREMT
Suturing
Neurofibromatosis
Surgical process for apicoectomy
Surgical process for apicoectomy
Surgical process for apicoectomy
Condylectomy
Tmj ankylosis grading
Condylectomy
Recent MCQs
Show more MCQs
Recent flashcard sets
Show more flashcards
Feed
Learn
Add
Search
Discuss