Feed
Library
Learning
Discuss
Leaderboard
Journal
Sign in
Login
Sign up
Sign in
Feed
Library
Learning
Discuss
Leaderboard
Journal
Dr Vijay Sharma
about 6 years ago
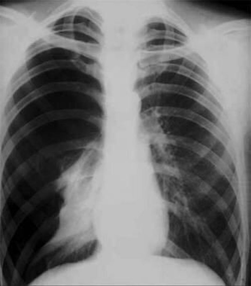
Radiograph of a patient with a complete right-sided pneumothorax due to a stab wound.
Medicine
Medstudent
Medical
Surgeon
Medicalstudent
show 2 more
8
1
2
Top rated comment
DB
Dr Bharat Bhushan
about 6 years ago
It's very important case for medical student
0
Reply
Other comments
Sign in
to post comments. You don't have an account?
Sign up now!
Related posts
Buccal space infection
Breastfeeding and Medications II
Medical Symptoms I
Preparation for USMLE
Cellulitis, gangrene
Effects of sugar on teeth
Chest X-Rays
Suturing
Acne
Neurofibromatosis
Recent MCQs
Show more MCQs
Recent flashcard sets
Show more flashcards
Feed
Learn
Add
Search
Discuss