
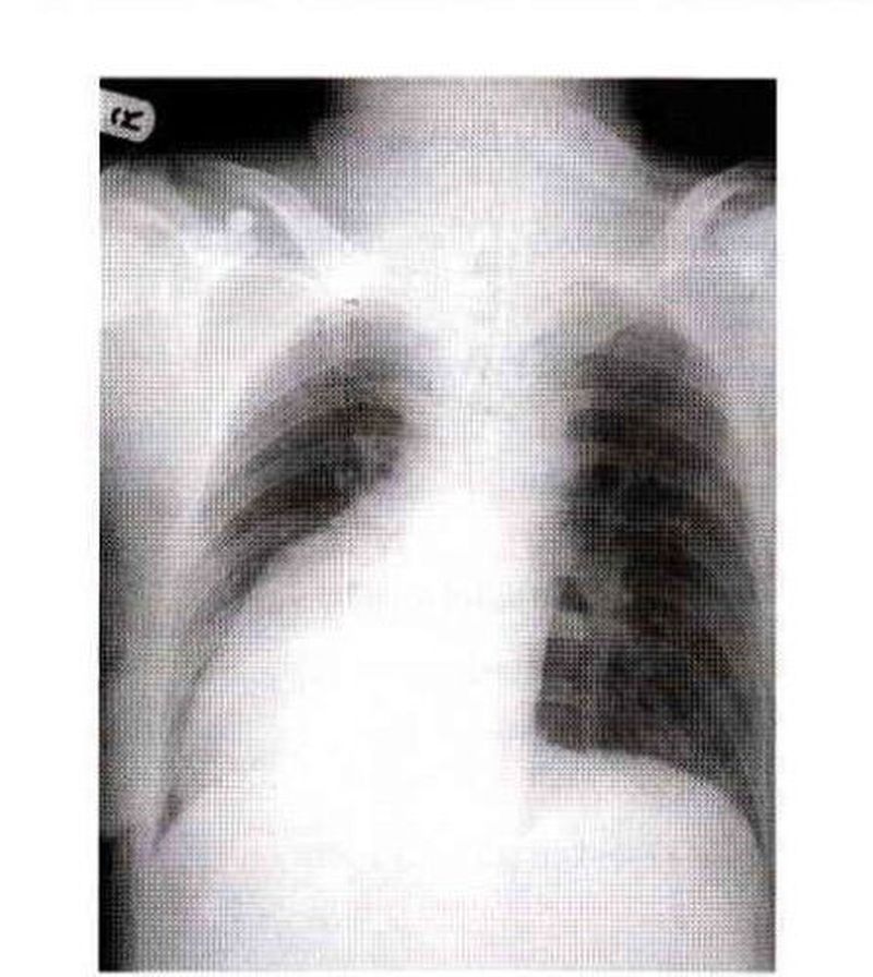
Normally the cardiac apex or apex beat is on the left side. In the condition called dextrocardia, the apex is on the right side. Dextrocardia may be part of a condition called situs inaersus in which all thoracic and abdominal viscera are a mirror image of normal.