MEDizzy
MEDizzy
Medicogram
Medicogramalmost 9 years ago

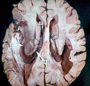
The Brain.A - Choroid plexus; B - Interventricular foramen; C - Choroid plexus in inferior horn of lateral ventricle.

0
Other commentsSign in to post comments. You don't have an account? Sign up now!

Recent MCQs















Show more MCQs

Recent flashcard sets















Show more flashcards