
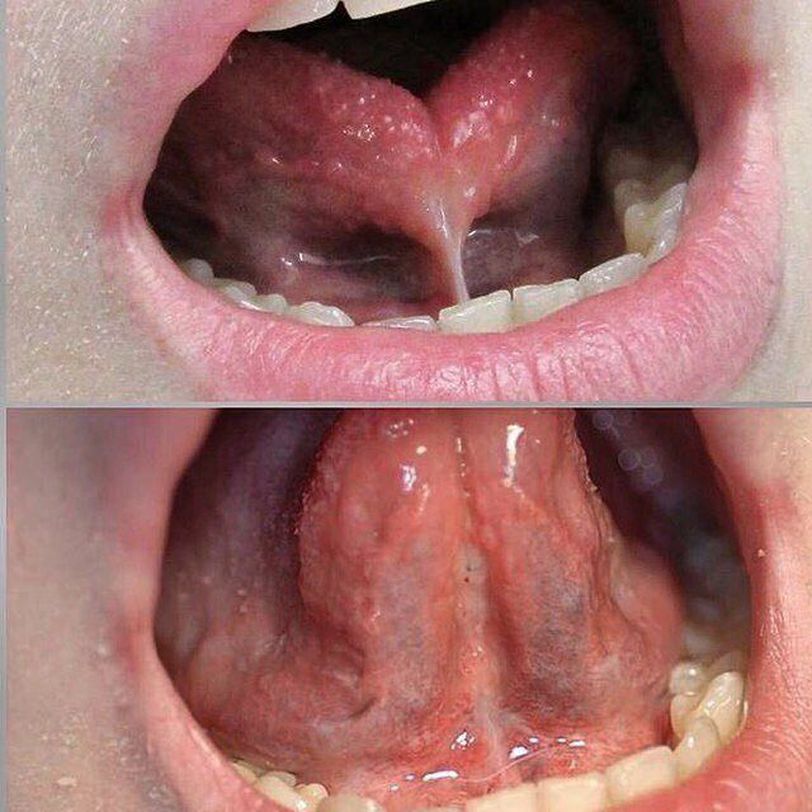
Ankyloglossia, also known as tongue-tie, is a congenital oral anomaly that may decrease mobility of the tongue tip and is caused by an unusually short, thick lingual frenulum.Frenectomy is a relatively minor surgical procedure that is performed by an oral and maxillofacial surgeon. Loosening or removing a problematic frenum may be done with a scalpel or via laser surgery, with the goal of removing excess or poorly positioned tissue. Once that tissue has been removed, the wound will typically be sutured. Frenectomy is a quick procedure, generally taking less than 30 minutes, and is often performed with just local anesthesia.Post sent to @medicogram by @jackhilon.
Luke warm not hot salt water gargle with it an don't swallow it and repeat every two hours amoxicillin four times a day throat cultures and lower tabs 10 mg every ten hours