Feed
Library
Learning
Discuss
Leaderboard
Journal
Sign in
Login
Sign up
Sign in
Feed
Library
Learning
Discuss
Leaderboard
Journal
Dr Vijay Sharma
about 6 years ago
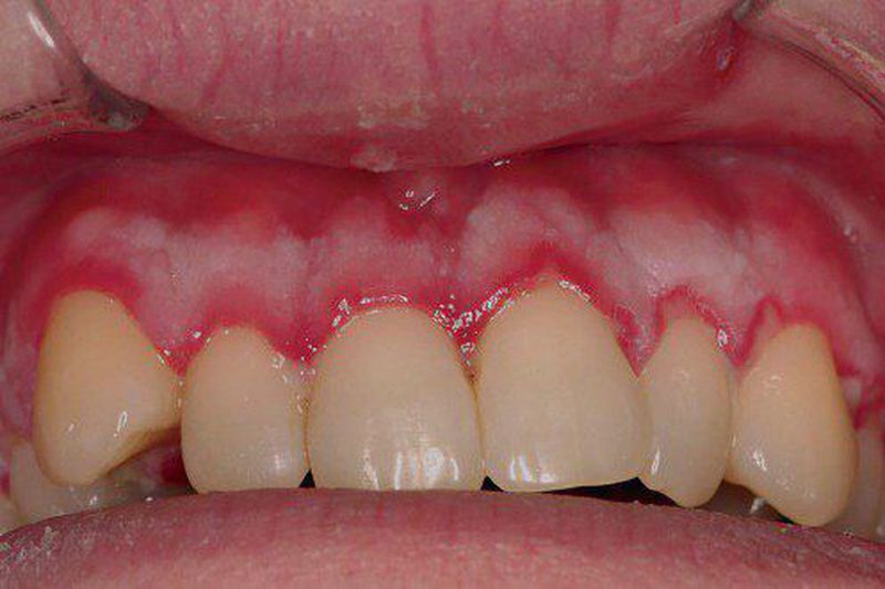
Acute Herpetic Gingivostomatitis Maxillary facial gingiva with erythema and focal marginal erosions.
Surgery
Medstudent
Mbbs
Medicalstudent
Carcinoma
show 1 more
5
0
0
Other comments
Sign in
to post comments. You don't have an account?
Sign up now!
Related posts
Metastatic carcinoma of the mandible.
Metastatic carcinoma in the mandible
Verrucous carcinoma
Kaposi’s sarcoma.
Surgical process for apicoectomy
Surgical process for apicoectomy
Surgical process for apicoectomy
Condylectomy
Tmj ankylosis grading
Condylectomy
Recent MCQs
Show more MCQs
Recent flashcard sets
Show more flashcards
Feed
Learn
Add
Search
Discuss