
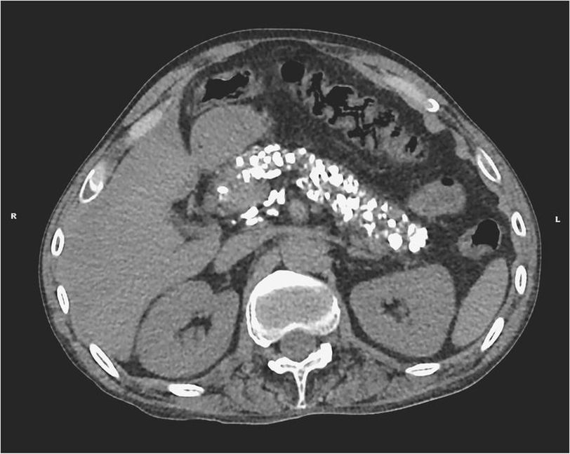
A 50-year-old man presented to the emergency department with sudden onset of hematemesis. He reported a 2-month history of epigastric pain and foul-smelling diarrhea. He had been drinking half a pint of vodka a day for 15 years. Physical examination revealed epigastric tenderness. Results of laboratory testing, including serum lipase and liver-function tests, were within normal limits. A computed tomographic scan of the abdomen showed extensive calcification of the pancreas without evidence of pancreatic edema or peripancreatic fluid collection, findings consistent with chronic calcific pancreatitis. Endoscopy revealed gastric ulcers, which were treated with acid suppression. Chronic alcoholic pancreatitis is a common cause of pancreatic calcification. Treatment of chronic pancreatitis typically includes pain management and correction of exocrine pancreatic insufficiency. This patient had an uneventful recovery; he was discharged with pancreatic enzyme supplements and was enrolled in an alcohol abuse rehabilitation program.