
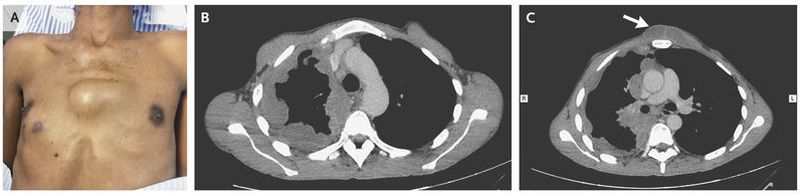
A 40-year-old man presented with a 3-month history of fever, weight loss, dyspnea, and cough. Physical examination revealed a tender, bulging anterior thoracic mass and a small ulcerative lesion that was inferomedial to the right nipple (Panel A). Computed tomographic scans showed a pleural effusion (Panel B) that extended through the chest wall (Panel C, arrow), along with accompanying bone destruction. Surgical exploration revealed purulent pleural fluid; a culture of the fluid grew Mycobacterium tuberculosis. Empyema necessitatis is a complication of pleural empyema that is characterized by extension of purulent fluid through the parietal pleura into the chest wall. A chest tube was placed for 3 weeks; the patient was treated for 9 months with rifampin, isoniazid, pyrazinamide, and ethambutol, and he recovered fully.