
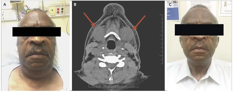
A 67-year-old man presented to the emergency department with neck swelling, dysphagia, and hoarseness that had started several hours after coronary angiography was performed. He had previously undergone heart transplantation owing to idiopathic dilated cardiomyopathy complicated by chronic kidney disease. He reported that he was allergic to contrast material and had therefore received hydrocortisone and diphenhydramine before the procedure. The physical examination was notable for enlargement and slight tenderness of the submandibular glands (Panel A). Computed tomography of the head and neck revealed symmetrically enlarged submandibular glands with no indication of stones or of fat stranding surrounding the glands (Panel B, arrows). The patient reported that he had experienced similar symptoms after previous exposure to iodinated contrast material, despite receiving medication before its administration. A diagnosis of iodide-associated sialadenitis was made. Iodide-associated sialadenitis is rare and is believed to result from an elevated concentration of iodine in the saliva, which causes swelling of the mucosal duct and impaired salivary excretion. The risk of sialadenitis may be increased by impaired renal function owing to impaired clearance of iodinated contrast material. Sialadenitis is typically benign and resolves within days without treatment. Since sialadenitis is not an allergic phenomenon, the condition cannot be prevented with premedication. The patient’s symptoms resolved completely after 5 days (Panel C).